ESC and ERS Cowrite New Pulmonary Hypertension Guidelines with Novel Treatment Algorithms

Written by Anna Tan, RN

The European Society of Cardiology (ESC) together with the European Respiratory Society (ERS) recently launched a new treatment algorithm for pulmonary arterial hypertension in its updated pulmonary hypertension guidelines. The amended protocol aims to provide patients with the best chance of a positive clinical outcome despite being diagnosed with an untreatable, highly debilitating, and limiting disease.

Balloon Technique Might Help Inoperable Chronic Thromboembolic PAH

Written by Alisa Woods, PhD

A research journal recently reviewed the use of balloon pulmonary angioplasty (BPA), a new option for people with inoperable chronic thromboembolic pulmonary arterial hypertension. The work, titled “Balloon pulmonary angioplasty for inoperablechronic thromboembolic pulmonary hypertension“ appeared in the July 7, 2015 issue ofCurrent Opinion in Pulmonary Medicine. Although the method has not been widely used due to fears and evidence that it can in some cases cause death, studies conducted in 2001 indicated that it may be a promising, reliable technique. Recent research out of Japan and Norway are supporting these claims, although researchers admit that further research is still needed.

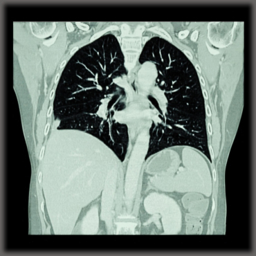
Researchers Advance Pulmonary Embolism Diagnosis Through Computed Tomography

Written by Patricia Silva, PhD

Researchers atLeiden University Medical Center.in The Netherlands recently published in the journal Diagnostic and Interventional Radiology a review on the value of computed tomography (CT) as a diagnostic tool for pulmonary embolism. The study is entitled “The role of computed tomography in the diagnosis of acute and chronic pulmonary embolism.”

An Exciting Time for Research into CTEPH Discussed in Review Article

Written by Maureen Newman

Patients with pulmonary hypertension may be surprised to know that the disease can sometimes be accompanied by the complication known as thromboembolic pulmonary hypertension (CTEPH). Pulmonary embolisms are the root cause of CTEPH because a pulmonary embolism (a blood clot in the lungs) that fails to be degraded via thromboembolysis can become lodged in blood vessels leading to the lungs and occlude blood flow. Individuals without any history of pulmonary embolisms are susceptible to CTEPH, making it important to understand the pathophysiology, risks factors, and signs of CTEPH.

Researchers Uncover New Insights Into Collateral Blood Flow in CTEPH Patients

Written by Maureen Newman

As the supplier of the body’s blood, the heart must also supply its own blood to keep itself nourished and oxygenated. The heart’s blood supply comes from the coronary arteries, which receive oxygenated blood from the pulmonary veins. Normally, the heart receives enough oxygenated blood, but with chronic thromboembolic pulmonary hypertension (CTEPH) is present, a clot may obstruct blood flow.

CTEPH Patients Can Develop Coronary-Pulmonary Collateral Vessels, According To Study

Written by Patricia Silva, PhD

Researchers at University of California, San Diego (UCSD) recently published findings in the journal Pulmonary Circulation revealing the prevalence of specific collateral arteries in patients with chronic thromboembolic pulmonary hypertension (CTEPH). The study is entitled “Prevalence of coronary artery-pulmonary artery collaterals in patients with chronic thromboembolic pulmonary hypertension.”

AHS/ATA Develop New Pediatric Pulmonary Hypertension Guidelines

Written by Charles Moore

The American Heart Association (AHA) and American Thoracic Society (ATS) have issued new guidelines pertaining to Pediatric Pulmonary Hypertension. The revisions come as a result of collaboration between the agencies and were developed in a joint effort by an interdisciplinary team of 27 experienced clinicians and clinician-scientists in a review of the current literature in which they analyzed data from more than 600 studies and made recommendations on diagnosis, evaluation, and treatment of pediatric pulmonary hypertension.

Study Tracks Pulmonary Hypertension Patients Through Orthopedic Surgery

Written by Malika Ammam, PhD

Satisfactory surgical outcomes reported, even in severe PH cases, if best practices are followed Recently published research reveals that orthopedic (musculoskeletal) surgery in patients with pulmonary hypertension (PH), while challenging, is feasible and offers decent outcomes even in severe stages of the disease, provided proper care is given. The paper entitled “Perioperative management of patients with severe pulmonary hypertension in major orthopedic surgery: experience-based recommendations“ was published in the GMS Interdisciplinary Plastic and Reconstructive Surgery DGPW journal.

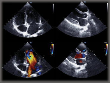
New Tool Assesses Right Ventricular Dysfunction in PH, Congenital Heart Disease and Cardiomyopathy

Written by Margarida Azevedo

Research study establishes promising correlation between Pulmonary Annular Velocity in children with different cardiac problems and RVOT assessment
Right ventricular (RV) dysfunction is a characteristic of several disorders such as pulmonary hypertension, congenital heart disease and cardiomyopathy, making RV function evaluation key to effective prognosis and diagnostic value in such disorders. However, diagnosis through RV function is challenging due to anatomical configuration of the RV. Right ventricular outflow tract (RVOT) is an important measurement of overall RV function. In a new study, researchers in the Department of Pediatrics at Tokushima University evaluated if measurement of pulmonary annular motion velocity could be a reliable and useful tool to determine right ventricular outflow tract (RVOT) performance in pediatric patients with RV dysfunction. The research paper, entitled “Pulmonary Annular Motion Velocity Assessed Using Doppler Tissue Imaging – Novel Echocardiographic Evaluation of Right Ventricular Outflow Tract Function” was published in Circulation Journal.

Cell-based Therapy Tested in First PHS Patient Study

Written by SAPH Admin

Further work urged into potential of endothelial progenitor cells to repair damaged vessels In a new study entitled “Endothelial NO-Synthase Gene-Enhanced Progenitor Cell Therapy for Pulmonary Arterial Hypertension: The PHACeT Trial,” researchers performed the first human trial to investigate the therapeutic potential of endothelial progenitor cells in repairing the damaged vessels in pulmonary arterial hypertension patients who have failed to respond to standard therapies. The study was published in the Circulation Research journal.